Is India ready to tackle impact of climate change on health?
The year 2024 was marked by extreme weather events that claimed hundreds of lives across India and left many picking up the pieces. In...
The case for preventive mental health policies
Conversations around mental health have gained momentum, breaking long-held stigmas and encouraging people to speak openly about their struggles. We see more discussions online,...
Redefining cancer care: Innovations with empathy and compassion
The theme for World Cancer Day 2025–2027 is “United by Unique.” It highlights the importance of personalized and compassionate care, recognizing that every individual...
Indian e-Pharmacies under renewed scrutiny by Drugs Controller General of India (DCGI)
The Indian government is likely to take strong action against the misuse of drugs by the e-pharmacies, including their closure, news agency ANI said,...
Rare diseases continue to blight India
Rare diseases continue to reap a considerable toll in India as patients struggle to avail treatment despite notified policies from the Central Government.
“Rare diseases...
Plantations and the risks of KFD
Kyasanur Forest Disease (KFD) – colloquially known as ‘monkey fever’ – is a disease known to spike on a yearly basis in and around...
Why is it important for you to know about NDHM and NDHB in India...
Today, on World Health Day (WHD), India, like the rest of the world is celebrating 75th anniversary of World Health Organisation (WHO). In 1948, several...
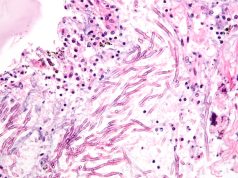
Fungal disease revealed to be a large scale threat to Indian health
While diseases such as tuberculosis and HIV are at the forefront of media attention regarding infectious disease, one threat has long gone overlooked –...
Indian study finds potential new Alzheimer’s disease biomarker
Initial test results from studies conducted in India may have uncovered potential biomarkers that could be used as an early detection tool in diagnosing...
Diabetes drug may reduce risk of long COVID; The latest health stories from around...
The risk was 41% lower for the metformin group than for a comparison group receiving a placebo. The study presents the first evidence from...









